Il carcinoma squamocellulare origina dall’epitelio mucoso che riveste la cavità orale. È il tumore maligno più frequente di questa area anatomica rappresentandone il 90% di tutti i casi di neoplasie maligne.

Epidemiologia e fattori eziologici

Il fumo di sigaretta, pipa o sigaro e l’abuso di alcol sono i fattori eziologici del carcinoma orale meglio documentati. In Europa, America e Giappone circa l’80% dei pazienti con carcinoma orale ha un’anamnesi positiva per consumo di sigarette e/o alcol. Il rischio relativo negli individui forti bevitori e forti fumatori, rispetto a individui che non fumano o che bevono modiche quantità di alcol, varia da 70 a 100 volte. L’aumento di incidenza che si sta osservando nell’Europa dell’Est in questi anni è dovuto soprattutto al forte consumo di bevande ad alto contenuto alcolico; mentre nell’Europa del Sud il fattore principale e’ il fumo di sigaretta. L’esposizione solare invece gioca un ruolo eziologico importante nella genesi del carcinoma del labbro inferiore.
In paesi come l’India, Pakistan e parti della Cina e Taiwan la masticazione del tabacco mescolato con le foglie di betel, noce di areca e idrossido di calcio (lime) causa circa il 50% dei carcinomi orali nell’uomo e circa il 90% nella donna. Anche in Sudan e nei paesi del Medioriente la masticazione del tabacco rappresenta un fattore di rischio primario per il carcinoma orale.
Di recente e’ stato segnalato un ruolo eziologico dell’HPV 16/18 nella genesi dei carcinomi oro-faringei e tonsillari; mentre in carcinomi di altre sedi il ruolo di questi virus rimane controverso. E’ interessante citare che alcuni studi italiani hanno segnalato un effetto protettivo della dieta mediterranea (frutta fresca e verdure) sullo sviluppo del carcinoma orale.
Il carcinoma orale è più frequente nell’uomo che nella donna. Nell’anno 2000 si sono osservati a livello mondiale circa 389,650 casi che rappresentano il 5% di tutte le neoplasie nell’uomo e il 2% nella donna. La Francia è il paese con la massima incidenza mondiale di carcinomi orali nel sesso maschile insieme a Svizzera e Ungheria. In Italia la massima incidenza del carcinoma orale si osserva nelle regioni del Nord-Est (Veneto, Friuli, Trentino Alto Adige) dove maggiore è il consumo di bevande alcoliche e sigarette. Nel Sud-Est Asiatico l’incidenza e’ molto elevata sia nell’uomo che nella donna. Negli Stati Uniti si osservano ogni anno circa 29.000 nuovi casi di carcinoma orale.
Di grande rilievo è l’osservazione che l’incidenza di questa neoplasia è in aumento in soggetti giovani, specie di sesso maschile, di età inferiore ai 40 anni. La causa di questo fenomeno è da riferire sia all’abuso di alcol e tabacco che a fattori di predisposizione genetica o a infezione del virus del papilloma umano. Studi recenti hanno messo in evidenza un ruolo eziopatogenetico dell’HPV-16 nello sviluppo dei carcinomi orofaringei e tonsillari di soggetti giovani.

Patogenesi e marcatori biologici molecolari

Nelle condizioni fisiologiche la crescita tessutale è il risultato di un delicato equilibrio fra i fattori che promuovono e i fattori che inibiscono la replicazione cellulare. La divisione cellulare, quindi, è strettamente controllata da tutta una serie di segnali biochimici complessi che governano l’omeostasi tessutale. La cellula neoplastica è capace di sfuggire a questi meccanismi di controllo acquisendo un programma autoctono di replicazione. Tale programma è il risultato della mutazione di un particolare set di geni deputati appunto all’orchestrazione della crescita cellulare. Tali geni sono chiamati oncogéni quando attivano la proliferazione cellulare o geni onco-soppressori quando la inibiscono. Un tipico esempio di oncogéne che attiva la replicazione cellulare, e che risulta mutato in circa il 40% dei tumori dell’uomo, inclusi anche i carcinomi orali, è il gene ras. Questo gene mutato attiva i meccanismi replicativi interni della cellula che si avvia così verso un processo di crescita incontrollata. La mutazione dei geni onco-soppressori causa invece la perdita del freno inibitorio sulla crescita cellulare, contribuendo indirettamente alla trasformazione neoplastica. Un esempio è il gene p53 la cui mutazione causa la perdita funzionale della proteina p53 che, in condizioni fisiologiche, inibisce la replicazione cellulare. La p53 può essere inattivata anche da altri fattori, come alcune proteine codificate dall’HPV, evento, questo, che sicuramente ha un ruolo nella genesi del carcinoma della cervice uterina e probabilmente anche in una parte dei carcinomi della mucosa orale.
Dal punto di vista microscopico la genesi del carcinoma orale percorre un itinerario che, partendo da una semplice iperplasia dell’epitelio, giunge fino allo sviluppo del carcinoma invasivo attraverso un processo a tappe caratterizzato da vari gradi di displasia e dal carcinoma in situ. In questi ultimi anni è stato ampiamente documentato che l’innesco della carcinogenesi orale è connesso ad una serie di alterazione dei meccanismi molecolari che controllano la replicazione cellulare; tali eventi determinano la selezione e l’ espansione di un clone di cellule alterate che acquisisce la capacità di crescere in maniera incontrollata. Queste considerazioni introducono al cosiddetto “concetto della cancerizzazione di campo” (in lingua inglese “field cancerization”) il quale consiste nella teoria che, in una certa area della mucosa orale, le cellule epiteliali subiscono un danno genetico che le induce a proliferare in maniera clonale. La progressione del clone è caratterizzata da tappe in cui, nelle cellule, si assommano varie alterazioni genetiche e molecolari che alla fine si traducono nella loro trasformazione maligna. Questo concetto spiega perché certi pazienti sviluppano più di un carcinoma orale con modalità sincrone o metacrone.

Aspetti clinici

Il carcinoma orale si presenta con aspetti clinici che variano da una lesione bianca o rossa ad un’area ulcerativa o ad una tumefazione. La morfologia clinica è in funzione delle modalità di crescita della neoplasia per cui si possono osservare lesioni esofitiche di aspetto papillare o verrucoso o lesioni a crescita endofitica che assumono l’aspetto di ulcere penetranti. E’ importante ricordare che la valutazione clinica delle lesioni sospette deve includere la palpazione manuale in quanto spesso le lesioni si manifestano semplicemente con un indurimento dell’area colpita.
Le sedi più frequenti del carcinoma orale sono: labbro inferiore (30-40% dei casi), bordi laterali della lingua (25%), pavimento orale (20%), palato molle e trigono retromolare (15%), gengiva e cresta alveolare (4%) e mucosa vestibolare (1%). Nella maggioranza dei casi i carcinomi orali sono asintomatici; il dolore accompagnato da ulcerazione si riscontra talvolta nei tumori linguali. Nei casi più avanzati si possono riscontrare alitosi, sanguinamento, fistolizzazioni cutanee, tumefazioni dei mascellari, difficoltà della fonazione e dell’apertura della mandibola. Occasionalmente si osservano pazienti in cui il primo segno clinico è una tumefazione linfonodale a livello laterocervicale o sottomandibolare. I carcinomi che originano dalla gengiva infiltrano l’osso sottostante causando mobilità dentale o, quando viene a essere coinvolto il nervo mandibolare, parestesie.

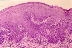
Istopatologia

Sulla base della microscopia il carcinoma squamocellulare si divide in tre tipi principali a seconda del grado di differenziazione delle cellule neoplastiche. Nel tipo ben differenziato(grado 1) le cellule neoplastiche tendono a cheratinizzare e viene mantenuto un certo grado di organizzazione architetturale della lamina epiteliale. Nei tumori moderatamente differenziati (grado 2) si nota una scarsa produzione di cheratina e una parziale conservazione dell’architettura epiteliale. Nei tumori poco differenziati (grado 3) l’architettura epiteliale è completamente scompaginata e le cellule neoplastiche mostrano un intenso pleomorfismo che rende difficoltoso il riconoscimento della loro origine epiteliale. Il grado di differenziazione del tumore comunque non ha un valore predittivo sulla prognosi; mentre risultano più importanti l’accertamento dello spessore del tumore e dei margini di resezione chirurgica della neoplasia che devono risultare liberi. Ovviamente riveste una grande importanza ai fini prognostici la valutazione delle metastasi linfonodali.

Diagnosi

La diagnosi si basa sugli aspetti clinici e sulla biopsia. La biopsia deve essere eseguita, dopo anestesia locale, sulle aree cliniche più sospette (per esempio aree rosse) evitando le zone necrotiche. L’applicazione del blu di toluidina e’ molto utile per identificare, specie nelle lesioni miste leuco-eritroplasiche di grandi dimensioni,le aree a maggior rischio. Questo colorante, che una affinità per gli acidi nucleici, viene captato soprattutto nelle zone in cui vi e’ una maggiore replicazione cellulare. Bisogna tenere presente che la colorazione con il blu di toluidina può dare origine a falsi positivi e falsi negativi. Nella valutazione diagnostica del carcinoma orale è importante tenere presente il principio della “cancerizzazione di campo” discusso precedentemente. Tale principio suggerisce che i pazienti affetti da un primo carcinoma della mucosa orale corrono il rischio di sviluppare, nel 35-40% dei casi, un secondo tumore in una sede anatomica diversa dal tumore primario. Da ciò ne deriva il risvolto pratico che tutti i pazienti devono subire, sia al momento della prima diagnosi che durante il successivo follow-up, un attento controllo di tutte le mucose delle prime vie aereo-digestive (pan-endoscopia).
Esami strumentali importanti nella valutazione dei pazienti con carcinoma orale sono l’ortopantomogramma e radiografie intra-orali per identificare l’eventuale invasione ossea. La TAC e la RMN sono necessari per valutare l’estensione del tumore primario e il coinvolgimento linfonodale tappa fondamentale, questa, ai fini del completamento dello staging pre-operatorio. La TAC è utile per valutare il coinvolgimento delle ossa mascellari mentre la RMN da informazioni più fini e dettagliate sulla diffusione del tumore alle parti molli e ai fasci neurovascolari.

Trattamento e prognosi

Si rimanda ai testi specialistici.